发布:2021-03-23 16:16 晴晴 183 评论 纠错/删除
*口腔医院创建于1907年,是中国颌面,整形,的诞生地和摇篮,承载着中国整形,外科发展的精髓。今天,以石冰教授、田卫东教授、胡静教授、王航副教授为首的一大批整形,中青年外科专家,立志奋进,使*口腔医学在整形外科领域迅速发展,成为西南美容整形的旗舰之一。四川*口腔医院种植牙多少钱?案例及价格表全新公布!

近年来,*口腔医院种植科在省级和*期刊上发表论文数十篇,开展了广泛的国际交流。近年来,该中心确立了学科发展的脉搏,以口腔种植体为核心技术,引进国外先进的医疗技术和设备

*口腔医院种植科拥有雄厚的技术力量和先进的技术生产中心,为我们修复口腔种植义齿的发展提供了强大的后盾,目前临床诊疗中心占地面积500平方米。该科目前拥有24个综合牙科调节台和5个特殊手术室,是中国*大、*现代化的种植调节机构。

彭琳,女,博士,种植牙副教授已完成种植牙3000余例,种植牙*例,对种植牙有着丰富的临床经验,在微创种植牙、特种骨增强技术、美学领域种植等方面有着自己独特的临床技能和思路。
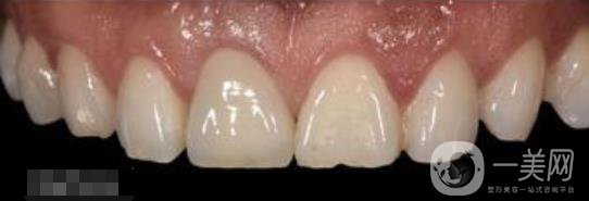
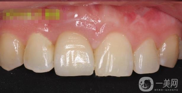
*口腔医院种植牙案例:
说起牙齿我们每天除了刷牙漱口以外,对他没有太多的关注。有些人会经常性的出现牙痛,才会过多的关注牙齿,像我牙齿一直很健康也很亮丽,所以对它的健康状况也忽略了。由于很多年之前自己有一颗牙齿在出现车祸以后被拔除了,当时没有及时进行补牙,造成牙齿越来越稀疏,而且还出现了有些歪斜的情况,所以我决定去*口腔科进行一下面诊调节。

当*口腔科的医生看到我的牙齿情况以后,*个想法就是让我种植牙齿。我的牙齿状况主要是因为常年缺失的情况使得很多牙齿都松动,持续这样下去以后会使牙齿的状况变得越来越差。因为是*次对牙齿有所关注,所以医生说的我根本就不了解,整个人处于迷茫的状态,并不知道这个手术对于我来说是好还是不好。

在医生对种植牙齿的手术原理和过程做了详细的介绍,并用3D动画的形式给我做了演示以后,我才知道自己的状态有什么危害,而且*以往下去会使自己有什么状态?在充分考虑以后决定进行牙齿种植手术,因为之前对牙齿的护理不是特别到位,也造成了牙齿出现了一些牙结石的情况,医生首先对牙结石的问题进行了调节,然后才让我来医院进行牙齿种植。

牙齿种植过程医生操作的特别流畅,也没有让我受太大的痛苦。就是刚做完牙齿以后,感觉有一些疼痛。当天拍了牙片,查看种植情况还是很不错的,手术完成以后要咬着棉纱,感觉特别的不舒服,而且在饮食上前期要保持流食或者半流食的状态,让我也有些不习惯。平时在餐后要保持口腔的清洁还是可以完成的,*的就是刚开始的时候有一种异物感,感觉不太舒服,而且还出现了一些肿胀。

做完种植牙以后,护理方面的要求也是特别多,饮食是一方面,平时也要减少一些剧烈的运动,定期的检查和保护也是特别重要的。种植的牙齿也不能特别用力的使用,以防出现损坏和松动的情况。其实在种植完牙齿以后牙齿之前的歪斜情况得到了改良,牙齿的整齐度也变得好了。从外观上要漂亮,而且牙齿健康问题也得到了保障。其实种植牙齿之前佩戴假牙是有很大区别的,佩戴假牙可能会损害到其他的牙齿,但是种植牙齿对其他健康牙齿没有任何损害的。
*口腔医院价格表:
还有整形疑惑?想了解更多整形医院价格信息?
可以点击
【在线咨询】或添加微信【meb456】与整形顾问一对一沟通,免费为您提供医院对比、医生对比、价格对比等服务喔~!
更多资讯
一般来说恢复时间需要一周左右,爱美的女性在手术之后第二天开始,手术部位就开始消肿,手术之后为了使手术的果*佳,减轻爱美人士的痛苦,手术的医生会使用固定带把下巴固
随着越来越多的医美项目蜂拥而出,每年也都会有更多的先进技术和手段为医美行业助力,但是纳米微针作为使用*多的一项医美微手术,仍然收获很多爱美者的一致青睐,有着高人气
随着时间的流逝,玻尿酸能够逐渐被人体自然吸收,这一过程极为安全,对人体无任何损害。此方法中的玻尿酸本身即为皮肤固有成分,将随着新陈代谢自然排出体外。通常而言,玻尿
玻尿酸是多种形态的生物物质,目前在市场上主要有两种形式的产品:针剂和外用护肤品。以下为详细介绍: 一、注射用玻尿酸 注射用玻尿酸广泛应用于化妆品和塑形行业。通过先进
玻尿酸,这个我们常常听到的美容圣品,它的主要成分其实就是透明质酸,这是一种酸性粘多糖。这种物质在1934年被哥伦比亚大学眼科的迈耶教授从牛玻璃体中成功分离出来。透明质酸
对于隆鼻手术,许多人都有所耳闻,但对其具体细节和可能产生的后效,却知之甚少。现在,就让我来为大家详细解读一下。 鼻综合手术后的潜在后遗症主要与手术效果相关。这其中包
鼻综合手术的恢复期是多久呢?鼻整形手术在当今社会十分流行,而中国人由于常见的鼻部问题如塌鼻子、大鼻翼、大鼻子等,更是倾向于选择通过隆鼻手术来鼻部外观。今天,我们
如今,随着审美观念的改变,越来越多的人选择通过鼻整形手术来自己的鼻部外观。鼻子的美丽被普遍认为是个人魅力的重要组成部分。在鼻整形术中,膨体是一种常用的整形材料
对于许多人来说,鼻翼缩小手术是否安全,存在哪些风险,都是十分关心的问题。鼻翼缩小手术在整形领域中颇受欢迎,相较于其他整形项目,如隆鼻等,它通常被认为是一个更为安全
现今,鼻翼缩小手术已成为一种广受欢迎的整形手术,其中鼻翼切口是常用的手术方法之一。此方法能够有效缩小宽大的鼻翼,使鼻子整体看起来更为精致。那么,鼻翼内切与外切究竟